Noble Dental Clinic, established in 1994, is led by Dr. (Capt.) P.C. Tyagi, a highly skilled Consultant Dental Surgeon with a distinguished background in dentistry. Dr. Tyagi graduated from Maulana Azad Medical College and began his career serving in the Indian Army Dental Corps, where he held posts as a Dental Officer and Officer Commanding. His expertise further extended to prominent roles in civilian healthcare, including his tenure as a consultant in the Dental Department at Maharaja Agarsen Hospital. With over 36 years of experience, Dr. Tyagi is renowned for his dedication in raising the standards of dental care
The clinic provides a comprehensive array of dental services, encompassing preventive, restorative, and cosmetic dentistry. Treatments range from routine check-ups and teeth cleaning to advanced procedures like root canal therapy, surgical tooth extraction, dental laminates, and braces. Dr. Tyagi and his team prioritize patient education, ensuring that each individual is well-informed about their dental health and treatment options. Noble Dental Clinic’s focus on patient satisfaction and welfare has established it as a trusted destination for high-quality dental care.
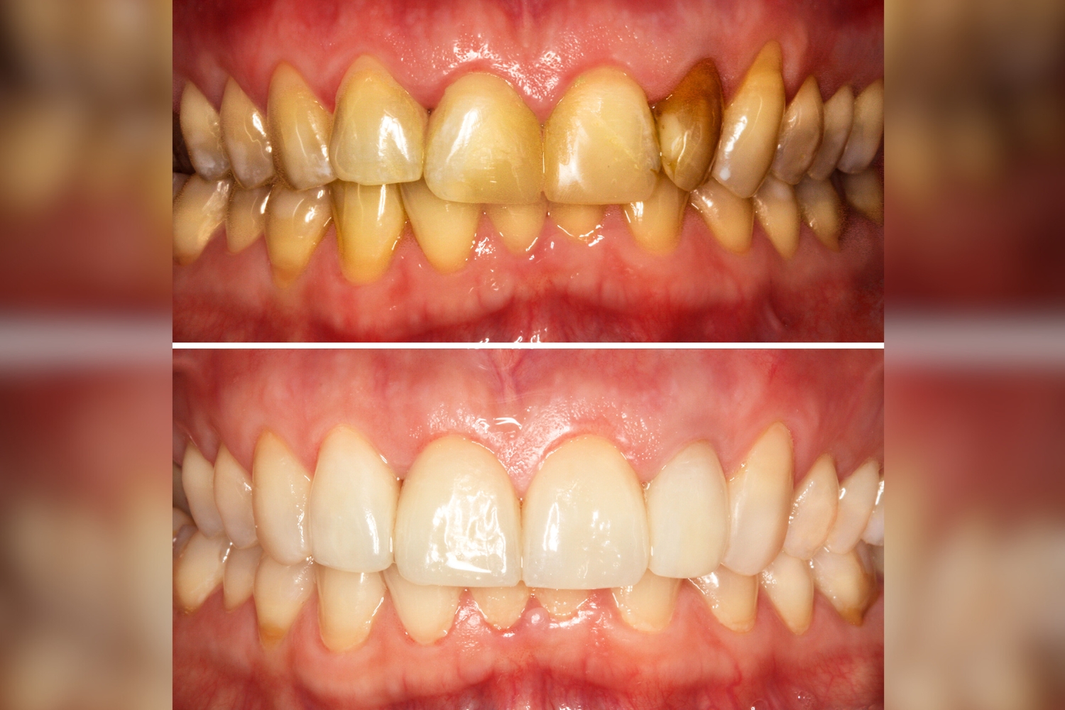
Noble Dental Clinic, led by Dr. (Capt.) P.C. Tyagi with over 36 years of expertise, offers trusted, high-quality dental care focused on patient satisfaction and long-term results. From preventive care to advanced cosmetic treatments, our clinic combines skill with modern technology to meet each patient’s unique dental needs.
With a compassionate, patient-centered approach, we ensure every visit is comfortable and informative. Choose Noble Dental Clinic for comprehensive, personalized care that enhances both your smile and confidence.
Noble Dental Clinic provides a wide range of dental services, including cosmetic dentistry, dental crowns, fillings, implants, veneers, dentures, and routine preventive care to address all your dental needs.
Our lead dentist, Dr. (Capt.) P.C. Tyagi, has over 36 years of experience in dentistry, including a distinguished tenure with the Indian Army Dental Corps. Our team is committed to deliver high-quality care backed by extensive experience.
During your first visit, we will conduct a comprehensive dental examination, review your medical and dental history, and discuss any specific concerns. We’ll create a personalized treatment plan to address your unique needs.
Yes, our cosmetic treatments, including teeth whitening, veneers, and crowns, are safe and follow the highest standards of dental care. We use advanced technology and high-quality materials to ensure long-lasting, natural-looking results.
Yes, we handle dental emergencies such as severe tooth pain, broken teeth, and other urgent issues. Please call us directly in case of an emergency, and we’ll make every effort to accommodate you as quickly as possible.
Contact Details
Let's Talk – Your Voice, Our Priority.
Monday to Saturday 11:30am- 1:30 pm / 5:00 - 8:00pm
Sunday 11:30am- 1:30 pm / Evening Off
Thursday OFF
Phone No: +91 9871684697
Email: pctyagi1962@gmail.com
